Swiss Dent

Buzëqeshje Hollywoodiane, por Low Cost!

Një rehabilitim total që dëshmon se estetika maksimale nuk varet vetëm nga materiali, por nga dora, mendja dhe bashkëpunimi profesional

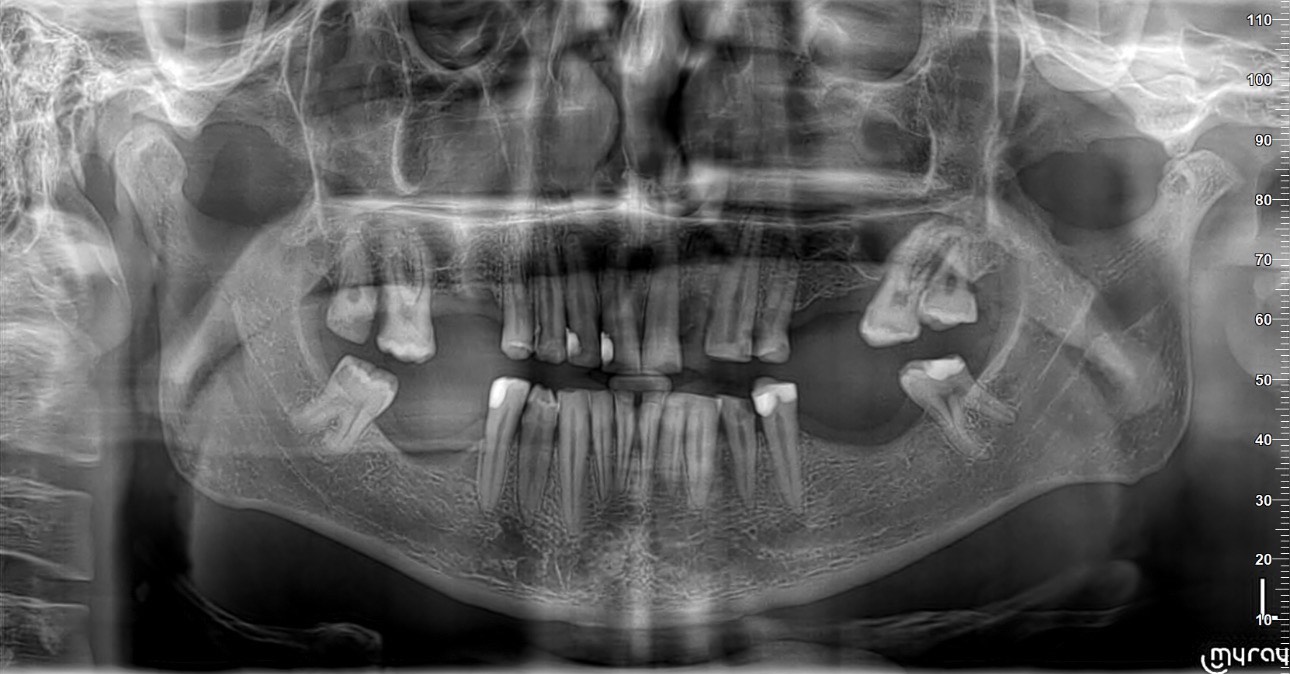
Në stomatologjinë moderne ekziston një paragjykim i përhapur: se vetëm kurorat e zirkonit mund të ofrojnë estetikë të lartë. Ky rast klinik i realizuar në Swiss Dent është prova konkrete se kjo nuk është e vërtetë. Pacienti ynë, një djalë i ri, u paraqit në klinikë me nevojën për një rehabilitim të plotë të gojës, si në nofullën e sipërme ashtu edhe në atë të poshtme. Problematika nuk ishte vetëm funksionale, por edhe estetike, duke ndikuar drejtpërdrejt në vetëbesimin, jetën sociale dhe mënyrën se si ai shprehej çdo ditë.

Pacienti nuk dëshironte të realizoheshin apo të publikoheshin foto para trajtimit, pasi ndihej i parehatshëm me gjendjen e tij dentare. Ky vendim u respektua plotësisht nga ekipi i Swiss Dent, duke vënë në plan të parë etikën profesionale dhe ndjeshmërinë njerëzore.

Sfida kryesore: estetika maksimale me një buxhet të kufizuar

Gjatë konsultës së parë u bë e qartë se pacienti:

• Kishte nevojë për rehabilitim total me kurora • Dëshironte një buzëqeshje sa më natyrale dhe estetike • Nuk mund të përballonte kostot e kurorave zirkoni Situata u bë edhe më komplekse nga fakti se pacienti vuante nga bruksizëm i theksuar, një parafunksion që rrit ndjeshëm ngarkesat okluzale dhe e bën trajtimin restaurues më sfidues, si nga ana funksionale ashtu edhe nga ajo afatgjatë.

Përpara planifikimit përfundimtar, u krye një ekzaminim i plotë diagnostik, duke përfshirë:

• Ekzaminim klinik të detajuar • Imazheri 2D • 3D Scanner intraoral, për analizë precize të okluzionit, formës dentare dhe marrëdhënieve skeletike.
Kjo fazë ishte thelbësore për të ndërtuar një plan trajtimi të sigurt dhe të personalizuar.

Zgjidhja: rehabilitim total me kurora metal-porcelan

U vendos realizimi i një: • Rehabilitimi të plotë të gojës • Me kurora metal-porcelan • Në nofullën e sipërme dhe të poshtme Zgjedhja e materialit u bë në mënyrë strategjike, duke marrë parasysh: • Buxhetin e pacientit • Nevojën për rezistencë për shkak të bruksizmit • Objektivin estetik final Diferenca nuk qëndron te emri i materialit — por te procesi, detajet dhe kontrolli i çdo faze.

Bashkëpunimi klinikë–laborator: çelësi i suksesit

Ky rast është një shembull i pastër i marrëdhënies së ngushtë dhe funksionale mes:
• Mjekut
• Klinikës
• Laboratorit dentar

Çdo element u trajtua me kujdes ekstrem:
• Forma individuale e dhëmbëve
• Proporcionet e fytyrës së pacientit
• Linja e buzëqeshjes
• Ngjyra dhe transparenca e porcelanit
• Funksioni korrekt i kafshimit, veçanërisht i rëndësishëm në prani të bruksizmit. Asgjë nuk u la rastësisë. Çdo provë u analizua, u rregullua dhe u optimizua deri në arritjen e rezultatit final.

Roli kyç i Dr. Dejlan Lusha

Në këtë rast, një rol vendimtar pati Dr. Dejlan Lusha, i cili jo vetëm e trajtoi pacientin nga ana klinike, por u angazhua personalisht për të gjetur zgjidhjen më të mirë të mundshme brenda buxhetit të pacientit.
Me përvojën e tij profesionale dhe vëmendjen ndaj detajeve, Dr. Lusha:
• Projektoi buzëqeshjen duke pasur si objektiv estetikën maksimale
• Koordinoi çdo fazë të punës me laboratorin
• U sigurua që rezultati final të ishte funksional, i qëndrueshëm dhe estetik Sfida ishte e madhe:
të krijohej një buzëqeshje me pamje “Hollywood” duke përdorur kurora metal-porcelan, në një pacient me bruksizëm të theksuar.

Rezultati? Një sukses i plotë.

Rezultati final: kur estetika flet vetë

Pas përfundimit të rehabilitimit total:

  • Funksioni i gojës u rikthye plotësisht
  • Okluzioni u stabilizua
  • Buzëqeshja mori një pamje harmonike dhe natyrale
  • Pacienti rifitoi vetëbesimin

Pas trajtimit u realizua sërish ekzaminimi 2D dhe 3D scanner, për të verifikuar saktësinë e punës, stabilitetin okluzal dhe harmoninë funksionale e estetike të rehabilitimit.

Sot, ai nuk ndalon së qeshuri. Dhe kjo është dëshmia më e fortë e suksesit të trajtimit.

Çfarë dëshmon ky rast për Swiss Dent?

Ky rast tregon qartë se në Swiss Dent:

  • Estetika nuk varet vetëm nga materiali
  • Çdo pacient trajtohet individualisht
  • Buxheti respektohet pa sakrifikuar rezultatin
  • Procesi ndiqet nga fillimi deri në detajin e fundit

Trajtime me buxhet të ulët, por buzëqeshje Hollywoodiane.
Kjo nuk është thjesht një slogan — është realiteti që shihni në foto.

Edhe ju mund të keni një buzëqeshje Hollywoodiane – pa kompromentuar buxhetin

Ky rast është prova se në Swiss Dent, zgjidhjet nuk janë standarde, por të menduara posaçërisht për çdo pacient. Pavarësisht materialit apo buxhetit, objektivi mbetet gjithmonë i njëjtë: funksion perfekt dhe estetikë maksimale.

Nëse po mendoni për:

  • rehabilitim total të gojës
  • kurora dentare estetike
  • zgjidhje profesionale edhe me buxhet të kufizuar
  • ose thjesht një konsultë të ndershme dhe të qartë

👉 Kontaktoni Swiss Dent sot dhe zbuloni se çfarë është e mundur për buzëqeshjen tuaj.

🔗 Informacion, trajtime dhe kontakt direkt:
https://poliklinikaswissdent.al/

Në Swiss Dent, buzëqeshja juaj nuk ka kompromis – vetëm zgjidhje.

Clinica Del Sorriso

Kafshim i Kryqëzuar – Nga Vuajtja në Estetikë

Amici Dent

Trauma Dentare tek një paciente 11-vjeçare

Dental Corsi

Crestal Sinus Lift i asistuar nga Magnetic Mallet

Implantus

Zgjidhje e avancuar me implante zigomatike dhe pterigoide

Renato Isufi

Kirurgjia Ortognatike – Kur një rast nuk mjafton për të përshkruar një standard klinik

Ekdent Clinic

23 Vjet pas një Plumbi në Nofull: Rehabilitim total mbi Implante

Softa Dental Clinic

Çifti italian që rifitoi jetën me një buzëqeshje të re

Swiss Dent

Buzëqeshje Hollywoodiane, por Low Cost

Ky publikim nuk përfaqëson renditje apo krahasim mes profesionistëve, por synon të dokumentojë raste reale klinike dhe qasje të ndryshme trajtimi në stomatologjinë shqiptare.

© 2026 • Ndalohet riprodhimi i paautorizuar i përmbajtjes së kësaj faqeje.