Amici Dent

Trauma Dentare tek një paciente 11-vjeçare

Një trajtim i realizuar në Amici Dent nën kujdesin e Dr. Aurora Celamit

Traumat dentare tek fëmijët përbëjnë një prej urgjencave më delikate në stomatologji, jo vetëm për faktin që prekin funksionin dhe estetikën, por edhe për ndikimin emocional që kanë tek fëmija dhe familja. Rasti i mëposhtëm, i trajtuar në Amici Dent nga Dr. Aurora Celami, përfaqëson një ndër situatat ku koha, saktësia dhe ndjekja e protokolleve rigoroze bëjnë diferencën midis humbjes së një dhëmbi të përhershëm dhe ruajtjes së tij afatgjatë.

Ky rast tregon qartë rëndësinë e ndërhyrjes së menjëhershme, profesionalizmit dhe kujdesit multidisiplinar në menaxhimin e traumave dentare tek fëmijët.

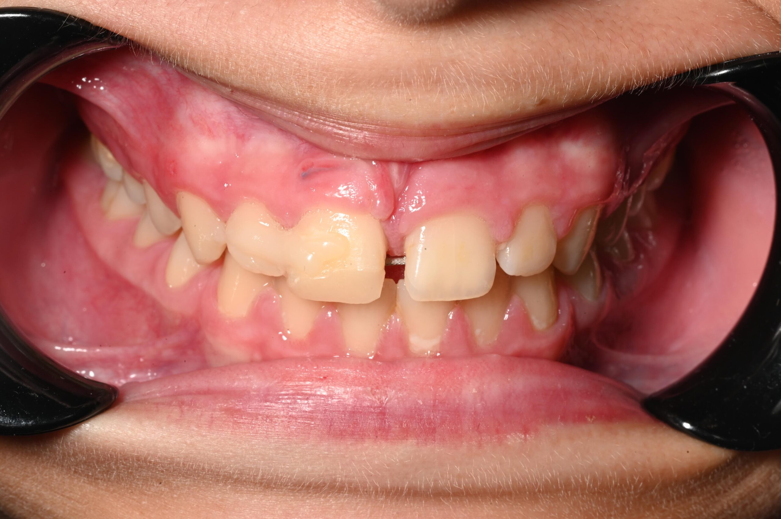
Paraqitja e pacientit dhe vlerësimi fillestar Pacientja, një vajzë 11-vjeçare, u paraqit në urgjencë së bashku me prindërit, të shqetësuar pas një rrëzimi ku kishte goditur me fytyrë dyshemenë. Trauma kishte ndodhur vetëm pak minuta para mbërritjes në klinikë, çka përbënte një avantazh të jashtëzakonshëm për prognozën e dhëmbit të dëmtuar.

Gjatë ekzaminimit klinik u vërejtën menjëherë shenjat e traumës, të shoqëruara me dhimbje, gjakderdhje dhe një boshllëk të dukshëm në regjionin e dhëmbit të sipërm qendror.

Përmes një ekzaminimi të detajuar, u evidentuan tre dëmtimet kryesore:

• Avulsion i plotë i dhëmbit 11, një dëmtim ku dhëmbi del tërësisht nga alveola, duke e bërë kohën faktor kritik.

• Frakturë e margjinales incizale rreth 2 mm, një dëmtim i lehtë i kurorës, i cili ndikon estetikën por është i menaxhueshëm.

• Trauma e alveolës në anën vestibulare, me dëmtim të indeve mbështetëse, por pa shkëputje të plotë të kockës – një element i rëndësishëm që e bënte reimplantimin të mundur dhe me shanse të mira suksesi.


Prindërit kishin marrë me vete dhëmbin e avulsionuar, duke ndjekur këshillat standarde të urgjencës dentare dhe duke e vendosur atë në qumësht. Ky veprim i thjeshtë, por jetik, e ruajti ligamentin periodontal dhe rriti gjasat e shërimit pa komplikacione. .

Menaxhimi urgjent – protokoll i ndjekur hap pas hapi

Ekipi i Amici Dent, i drejtuar nga Dr. Aurora Celami, veproi me shpejtësi dhe precizion. Në rastet e avulsionit, çdo minutë ka peshë të drejtpërdrejtë në prognozë.

1. Menaxhimi urgjent – protokoll i ndjekur hap pas hapi

Dhëmbi, falë ruajtjes së duhur, u gjend në gjendje optimale për reimplantim. Reimplantimi u realizua brenda 15 minutash nga trauma, duke e vendosur këtë rast në kategorinë me probabilitet më të lartë suksesi afatgjatë, sipas protokolleve ndërkombëtare të traumave dentare.

2. Suturimi i indeve të buta

Për të krijuar një mbyllje të sigurt të plagës dhe për të stabilizuar strukturat e dëmtuara, u krye suturimi i indeve të buta. Ky hap ishte thelbësor për të parandaluar infeksionin, për të ruajtur stabilitetin e zonës dhe për të lehtësuar procesin e shërimit.

3. Splintimi stabilizues – kombinim i kompozitit dhe telit ortodontik

U përdor një teknikë e kombinuar splintimi:

• Kompozit në anën vestibulare, i cili jep fleksibilitet dhe estetikë.
• Tel ortodontik në anën palatinale, i cili përforcon stabilitetin pa e ngurtësuar dhëmbin në mënyrë të tepruar.

Ky lloj splintimi i “butë” (flexible splint) është i rekomanduar në trauma të këtij lloji, sepse ndihmon në rigjenerimin e ligamentit periodontal.

4. Radiografi para dhe pas ndërhyrjes

Radiografitë lejuan vlerësimin e:

• pozicionimit të saktë të dhëmbit të reimplantuar,
• gjendjes së rrënjës dhe alveolës,
• dëmtimeve të mundshme të strukturave mbështetëse,
• dokumentimit të gjendjes fillestare për monitorim afatgjatë.

5. Përpunim estetik i kurorës

Pasi situata u stabilizua, Dr. Celami realizoi një korrigjim estetik për të rikthyer harmoninë e margjinales incizale të dëmtuar. Humbja prej 2 mm u kompensua përmes përpunimit estetik të kurorës, duke marrë parasysh moshën e pacientit dhe integritetin estetik të incizivëve.

Reimplantimi u realizua brenda 15 minutash nga trauma, duke e vendosur këtë rast në kategorinë me probabilitet më të lartë suksesi afatgjatë, sipas protokolleve ndërkombëtare të traumave dentare.

6. Terapia mjekësore – antibiotikë, analgjetikë dhe udhëzime post-traumë

U përshkruan:

  • antibiotikë për parandalimin e infeksionit,
  • analgjetikë për menaxhimin e dhimbjes,
  • instruksione të detajuara për kujdesin pas traumës, të cilat përfshinin dietën e butë, higjienën, shmangien e forcave okluzale dhe kufizimin e aktivitetit fizik.

7. Kontrolli pas 24 orësh

Pacientja u rikthye për kontroll të menjëhershëm. Në ekzaminim u vu re:

  • mungesë dhimbjeje,
  • stabilitet i dhëmbit,
  • inde të qeta pa inflamacion,
  • mungesë komplikacionesh akute.

Kjo vizitë e parë është një ndër indikatorët më të fortë të ecurisë pozitive të shërimit.

Pse ky rast është klinikisht i rëndësishëm?

Traumat dentare në fëmijëri, sidomos avulsionet, kanë rëndësi të madhe klinike për disa arsye:

  • Dhëmbët e përhershëm të grupit të parë (incizivët qendrorë) janë kritikë për estetikën, artikulimin e të folurit dhe vetëvlerësimin e fëmijës.
  • Avulsioni, i cili përfaqëson shkëputjen e plotë të dhëmbit nga alveola, është trauma më e rëndë që mund të ndodhë në dhëmbët e përhershëm.
  • Reimplantimi brenda 60 minutave konsiderohet i mirë; brenda 15 minutave konsiderohet ideal.
  • Ruajtja e dhëmbit në një medium të përshtatshëm, si qumështi, mbron ligamentin periodontal.
  • Kombinimi i splintimit fleksibël, suturimit dhe terapisë adekuate rrit ndjeshëm shanset e rikthimit normal të funksionit periodontal.

Rasti ilustron se sa shumë ndikon reagimi i shpejtë, ndërhyrja profesionale dhe monitorimi korrekt në një prognozë të mirë.

Plani i monitorimit afatgjatë

Reimplantimi i një dhëmbi të avulsionuar nuk përfundon në momentin e vendosjes së tij. Ndjekja e vazhdueshme është po aq e rëndësishme sa ndërhyrja urgjente.

Pacientja do të ndiqet me kujdes në muajt dhe vitet e ardhshme, sipas protokolleve ndërkombëtare:

📌 1. Kontroll radiografik periodik

Radiografitë do të ndihmojnë në zbulimin e hershëm të:

  • resorbimeve inflamatorë,
  • resorbimeve të rrënjës,
  • ankiloza dentare,
  • ndryshimeve në kockë dhe ligament periodontal.

📌 2. Monitorim i vitalitetit të pulpes

Tek fëmijët, pulpa ka potencial më të madh rikuperimi. Do të monitorohet:

  • reagimi termik,
  • testet elektrike,
  • shenjat klinike si dhimbja, ngjyrosja ose ndjeshmëria.

📌 3. Vlerësim i shërimit periodontal

Objektivi kryesor është të sigurohet se ligamenti periodontal po rigjenerohet normalisht. Çdo ndryshim në mobilitet, inflamacion ose ngjitje të dhëmbit me kockën (ankilozë) është sinjal që kërkon ndërhyrje.

📌 4. Identifikimi i hershëm i rezorbimeve

Një ndër rreziqet kryesore pas traumës është rezorbimi i rrënjës. Zbulimi i hershëm mundëson trajtime të menjëhershme endodontike dhe parandalon humbjen e dhëmbit.

Roli i Amici Dent dhe ekspertiza e Dr. Aurora Celamit

Ky rast është një shembull i qartë i mënyrës se si një klinikë moderne si Amici Dent menaxhon urgjencat dentare me:
• protokolle të standardizuara,
• pajisje moderne,
• staf të trajnuar për trauma,
• qasje multidisiplinare,
• fokus në trajtimin minimal invaziv dhe afatgjatë.

Dr. Aurora Celami, me përvojën e saj në menaxhimin e traumave dentare tek fëmijët dhe të rriturit, arriti të rikthente një situatë kritike në një prognozë tejet të favorshme.

Ndërhyrja e saj profesionale e ktheu një incident të papritur në një histori suksesi klinik, duke i shpëtuar pacientit humbjen e një dhëmbi të përhershëm në moshë të vogël.

Përfundim

Rasti i pacientës 11-vjeçare është një demonstrim i qartë i rëndësisë së:

  • reagimit të shpejtë të prindërve,
  • menaxhimit profesional të urgjencës,
  • respektimit të protokolleve ndërkombëtare,
  • monitorimit afatgjatë dhe të strukturuar.

Falë kujdesit të duhur, dhëmbi 11 ka shanse shumë të larta për shërim të qëndrueshëm, pa komplikacione dhe me rikthim të plotë të funksionit dhe estetikës.

Clinica Del Sorriso

Kafshim i Kryqëzuar – Nga Vuajtja në Estetikë

Amici Dent

Trauma Dentare tek një paciente 11-vjeçare

Dental Corsi

Crestal Sinus Lift i asistuar nga Magnetic Mallet

Implantus

Zgjidhje e avancuar me implante zigomatike dhe pterigoide

Renato Isufi

Kirurgjia Ortognatike – Kur një rast nuk mjafton për të përshkruar një standard klinik

Ekdent Clinic

23 Vjet pas një Plumbi në Nofull: Rehabilitim total mbi Implante

Softa Dental Clinic

Çifti italian që rifitoi jetën me një buzëqeshje të re

Swiss Dent

Buzëqeshje Hollywoodiane, por Low Cost

Ky publikim nuk përfaqëson renditje apo krahasim mes profesionistëve, por synon të dokumentojë raste reale klinike dhe qasje të ndryshme trajtimi në stomatologjinë shqiptare.

© 2026 • Ndalohet riprodhimi i paautorizuar i përmbajtjes së kësaj faqeje.