Dental Corsi

Crestal Sinus Lift i asistuar nga Magnetic Mallet

Qasje moderne, atraumatike dhe e parashikueshme në implantologjinë e avancuar

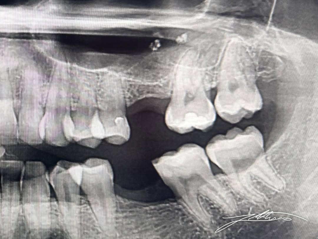
Përshkrimi i rastit klinik Pacienti u paraqit në klinikë me mungesën e elementit dentar 26, duke shfaqur një disponueshmëri kockore vertikale shumë të kufizuar, rreth 2.8 mm, në zonën posterio-superiore të maksilës. Kjo situatë klinike përfaqëson një sfidë të njohur në implantologji, veçanërisht në zonën e sinusit maksilar, ku resorbimi kockor pas humbjes së dhëmbit dhe pneumatizimi progresiv i sinusit reduktojnë ndjeshëm lartësinë e kockës së disponueshme për vendosjen e implanteve dentare.

Pas një vlerësimi të detajuar klinik dhe radiologjik para-operativ, duke përfshirë ekzaminimin CBCT, u përcaktua se alternativa më e sigurt, biologjikisht e respektueshme dhe klinikisht e parashikueshme ishte realizimi i një ngritjeje krestale të sinusit maksilar, e asistuar nga teknologjia Magnetic Mallet, me qëllim rritjen e lartësisë kockore dhe krijimin e kushteve të nevojshme për vendosjen e implantit dentar.

Zgjedhja e teknikës kirurgjikale Në këtë rast, u vendos të aplikohej një qasje krestale, duke shmangur një procedurë më invazive laterale, falë përdorimit të Magnetic Mallet. Objektivi kryesor ishte menaxhimi sa më i sigurt i membranës së Schneider-it, minimizimi i traumës kirurgjikale dhe ruajtja maksimale e indeve përreth. Foto 4 Teknika e zgjedhur synonte: • Rritjen graduale dhe të kontrolluar të lartësisë kockore • Reduktimin e rrezikut të perforimit të membranës së sinusit • Vendosjen e implantit në të njëjtën seancë kirurgjikale • Përmirësimin e komfortit intra- dhe post-operator për pacientin Në këtë kontekst, Magnetic Mallet përfaqëson një evolucion të rëndësishëm krahasuar me osteotomet tradicionale të aktivizuara manualisht.

Faza kirurgjikale

Procedura kirurgjikale filloi me realizimin e një flapi me trashësi të plotë, për të ekspozuar kreshtën alveolare dhe për të siguruar akses të drejtpërdrejtë dhe të kontrolluar në zonën operative. Kjo qasje lejon një vizualizim të saktë të anatomisë lokale dhe një planifikim të sigurt të fazave të mëtejshme.

Përgatitja e vendit të implantit u krye në mënyrë graduale, duke përdorur insertet Elevate të Magnetic Mallet, të pajisura me stopper progresiv, që garantojnë kontroll maksimal mbi thellësinë e penetrimit dhe avancimin vertikal drejt dyshemesë së sinusit maksilar.
• Fillimisht u përdor inserto i parë me stopper 2 mm, duke mundësuar një qasje jashtëzakonisht konservative drejt dyshemesë së sinusit.
• Më pas u vijua në mënyrë sekvenciale me:

o inserto me stopper 4 mm
o inserto me stopper 5 mm
o inserto me stopper 6 mm
o inserto me stopper 7 mm

Ky avancim i kontrolluar u realizua përmes mikro-zhvendosjeve kockore të sakta dhe të parashikueshme, duke respektuar integritetin e membranës së Schneider-it dhe duke minimizuar stresin mekanik mbi strukturat anatomike përreth.

Vendosja e implantit dhe mbyllja kirurgjikale

Pas arritjes së lartësisë së planifikuar, u vendos një implant dentar me dimensione 3.5 × 8 mm, duke përfituar nga stabiliteti i krijuar përmes ngritjes krestale të sinusit. Zona kirurgjikale u mbyll më pas me suturë, duke përfunduar procedurën kirurgjikale në mënyrë të kontrolluar dhe të sigurt.

Verifikimi post-operator

Ekzaminimi CBCT pas operacionit konfirmoi:

• Pozicionimin korrekt të implantit dentar
• Ngritjen e suksesshme të sinusit maksilar
• Integritetin e membranës së Schneider-it
• Karakterin atraumatik të procedurës së realizuar

Këto rezultate u arritën falë saktësisë së impulseve magneto-dinamike të Magnetic Mallet, të cilat lejojnë një transferim energjie shumë të shpejtë dhe të kontrolluar, pa krijuar trauma të panevojshme.

Avantazhet e Magnetic Mallet në ngritjen e sinusit

Përdorimi i Magnetic Mallet në procedurat e ngritjes së sinusit, si në qasjen krestale ashtu edhe në atë laterale, përfaqëson një ndryshim thelbësor krahasuar me teknikat tradicionale.

Në vend të goditjeve manuale të ngadalta dhe potencialisht traumatike, osteotomet aktivizohen nga:
• impulse magneto-dinamike shumë të shpejta
• përshpejtim i lartë
• kontroll i saktë i forcës së aplikuar Kjo teknologji:
• redukton ndjeshëm forcën e transmetuar te pacienti
• minimizon vibrimet e perceptuara
• ul rrezikun e perforimit të membranës së Schneider-it
• rrit aftësinë për menaxhimin e kreshtave me densitet të lartë kockor

Në ngritjen laterale të sinusit, Magnetic Mallet lejon:

  • krijimin dhe mobilizimin konservativ të dritares kockore
  • ruajtjen e kortikalës
  • reduktimin e kohës kirurgjikale
  • uljen e gjakderdhjes dhe traumës së indeve të buta

Diskutim dhe përfundim

Në të dyja qasjet kirurgjikale, krestale dhe laterale, përdorimi i Magnetic Mallet rezulton në një procedurë:

  • më delikate
  • biologjikisht më respektuese
  • klinikisht më të parashikueshme

krahasuar me teknikat tradicionale që përdorin freza ose çekiç manual.

Ky rast klinik demonstron qartë se teknologjitë moderne magneto-dinamike përfaqësojnë një hap të rëndësishëm përpara në implantologjinë e avancuar, duke rritur sigurinë, efikasitetin dhe komfortin për pacientin, si dhe duke i dhënë klinicistit kontroll maksimal mbi çdo fazë të trajtimit

Kontributi professional

Ky rast u realizua me sukses falë ekspertizës dhe përvojës klinike të Dr. Mattia Mema, i cili përmes një planifikimi të saktë dhe aplikimit korrekt të teknikës së Crestal Sinus Lift të asistuar nga Magnetic Mallet, bëri të mundur një trajtim të suksesshëm, atraumatik dhe biologjikisht të respektueshëm, duke vendosur standarde të larta në menaxhimin e rasteve komplekse implantologjike.

Pse Magnetic Mallet ndryshon standardin klinik?

Teknologjia magneto-dinamike e Magnetic Mallet bazohet në parimin e përshpejtimit të kontrolluar: një impuls ultra i shpejtë, me kohëkontakti minimal, por me forcë të mjaftueshme për të krijuar lëvizjet kockore të dëshiruara — pa dëmtuar indet përreth.

Kjo sjell:

  • më shumë precizion,
  • më pak traumë,
  • më pak vibrime,
  • më shumë parashikueshmëri,
  • më pak forcë e transferuar në kranio-mandibulë,
  • reduktim ndjeshëm të rrezikut të perforimit.

Në ngritjet e vogla krestale

Magnetic Mallet:

  • zvogëlon rrezikun e perforimit të membranës së Schneider-it,
  • kontrollon plotësisht avancimin,
  • lejon trajtimin e kreshtave me densitet të lartë,
  • është më komod dhe më i shpejtë për pacientin.

Në ngritjet e mëdha laterale

Instrumenti lejon:

  • krijimin konservativ të dritares kockore,
  • ruajtjen e kortikalës,
  • uljen e kohës kirurgjikale,
  • më pak traumë dhe gjakderdhje.

Të dy këto aspekte e bëjnë Magnetic Mallet një mjet universal në kirurgjinë orale moderne.

Aplikimet e tjera klinike të teknologjisë magneto-dinamike

Në dokumentin bazë klinik theksohen disa përdorime të tjera të rëndësishme të Magnetic Mallet

Dental Corsi

, të cilat e bëjnë atë një instrument shumëdimensional:

  • Levacorone – decementim i kontrolluar

Heqja e kurorave çimentuar me impuls të drejtuar vetëm mbi protezë, pa rrezikuar strukturat e tjera.

  • Split crest atraumatik

Zgjerimi horizontal progresiv i kreshtave të ngushta, me më pak traumë dhe pa përdorur forcë manuale.

  • Osseodensifikim “në të ftohtë”

Densifikim i kockës pa prodhuar nxehtësi, pa irrigim dhe me kontroll të plotë të thellësisë.

  • Përgatitje implantare pa frezim

Minimizon rrezikun e mbinxehjes së kockës dhe ruan maksimalisht volumin kockor.

  • Pin Fixation System për GBR

Vendosje ultra e kontrolluar e vidave të vogla të membranave rigjenerative.

  • Ekstraksione atraumatike

Instrumentet lejojnë mobilizimin progresiv të rrënjëve pa dëmtuar indet e buta.

Përfundim – Një standard i ri në implantologji

Rasti i crestal sinus lift i realizuar me Magnetic Mallet demonstron qartë përparësitë e kësaj teknologjie krahasuar me teknikat tradicionale:
• më shumë kontroll,
• më pak traumë,
• më shumë siguri,
• më pak komplikacione,
• rezultat më të parashikueshëm.

Teknologjia magneto-dinamike është gati të zëvendësojë shumë prej metodave konvencionale, duke ofruar një qasje biologjikisht më të respektueshme dhe klinikisht më të avancuar duke e bërë kirurgjinë moderne më të butë, më të sigurt dhe më efikase.

Clinica Del Sorriso

Kafshim i Kryqëzuar – Nga Vuajtja në Estetikë

Amici Dent

Trauma Dentare tek një paciente 11-vjeçare

Dental Corsi

Crestal Sinus Lift i asistuar nga Magnetic Mallet

Implantus

Zgjidhje e avancuar me implante zigomatike dhe pterigoide

Renato Isufi

Kirurgjia Ortognatike – Kur një rast nuk mjafton për të përshkruar një standard klinik

Ekdent Clinic

23 Vjet pas një Plumbi në Nofull: Rehabilitim total mbi Implante

Softa Dental Clinic

Çifti italian që rifitoi jetën me një buzëqeshje të re

Swiss Dent

Buzëqeshje Hollywoodiane, por Low Cost

Ky publikim nuk përfaqëson renditje apo krahasim mes profesionistëve, por synon të dokumentojë raste reale klinike dhe qasje të ndryshme trajtimi në stomatologjinë shqiptare.

© 2026 • Ndalohet riprodhimi i paautorizuar i përmbajtjes së kësaj faqeje.